Patient getting examined by doctor

Restorative Services

Restorative and cosmetic dental treatments include all the ways that we can make your smile complete and beautiful. When your teeth become damaged from decay or injury, we can restore them. When they have grown in a way that you’re not happy with or if they no longer have an attractive appearance, we have many tools we can use to give you a smile you enjoy showing off to friends and family. Please take a look at all the kinds of restorative and cosmetic dental services we offer. If you feel you could benefit from any of these services, please contact us and let’s talk about it.

Tooth-Colored Fillings

We provide tooth-colored fillings for our patients because they are both durable and attractive. They won’t darken over time like metal fillings will. And because the composite materials used for tooth-colored fillings bond better than metal to your natural teeth, we don’t have to remove as much of your tooth when we clean out the decay.

After a minimal amount of decayed tooth is removed, the composite material is placed in the opening and then hardened with a special light. Our patients tell us they prefer the way tooth-colored fillings look.

A patient getting tooth colored fillings
Patient teeth before tooth colored filling

BEFORE

Patient teeth after tooth colored filling

AFTER

A patient getting his mouth inspected

Dental Crowns

When a tooth has been damaged by a large filling or impact injury, a dental crown will cover the tooth and prevent further harm.

After root canal therapy, a crown is recommended to protect the tooth as it may become brittle over time.

A beautiful white porcelain crown will cover the entire tooth above the gum line.

We can offer a dental crown for these therapeutic reasons or to improve the appearance of the teeth.

Teeth before dental crown procedure

BEFORE

Teeth after dental crown procedure

AFTER

Bridges

A bridge is a fast and attractive way of replacing a missing tooth. To prepare for a bridge, the teeth adjacent to the gap are prepared by shaping them so they can receive a cap.

An impression is then taken of the gap and the two prepared teeth and a bridge is manufactured to fit exactly into this space.

When the porcelain bridge is ready, it is cemented over the two prepared teeth. If you have received a bridge, ask us how you should floss under it every day to make it last for many years.

A picture of patient ready for installing bridges
Teeth before bridge procedure

BEFORE

Teeth after bridge procedure

AFTER

Dental Implants

An implant consists of a titanium post that will replace the root of your tooth, a porcelain crown that replaces the visible part of your tooth and a connector called an abutment. The titanium implant is placed in the jaw and then is allowed to heal and bond with the bone.

The abutment is secured to the implant and then the crown is attached to the abutment. You have a new tooth that matches your others and feels just like a natural tooth. We can also use dental implants to secure dentures, eliminating the problem of dentures slipping or coming out. Mini-implants are another choice for some patients who may lack sufficient bone mass for regular implants.

Picture of dental implants in patients mouth

Partial and Complete Dentures

When multiple teeth have been lost or all upper or lower teeth are missing, we take pride in offering our patients natural-looking and comfortable partial or complete dentures.

Dentures can either be conventional or we can anchor them to dental implants for greater comfort and security.

patinet being examined
Picture of doctor doing an extraction

Simple and Complex Tooth Extractions

When a tooth can be gently eased out of its socket, it is called a simple tooth extraction. When a tooth is embedded in bone or it has complicated roots or is likely to break, it may require a surgical approach and it would be considered a complex extraction.

Wisdom teeth are complex extractions in most cases, requiring some degree of surgery to remove them. Dr. Maria Jimenez’s extensive training and more than two decades of experience qualify her to expertly perform both kinds of extractions for her patients.

Night Guards

A patient who unconsciously grinds their teeth at night can create enormous wear and tear on their teeth.

Teeth can be worn down so far that they may need to be restored with crowns. When abnormal wear is detected, we may recommend a night guard to be fitted over the teeth during sleep to prevent any more damage.

We are happy to provide our patients with a night guard created especially for them.

Picture of someone putting on night guards
Main picture for cosmetic services section

Cosmetic Services

Picture of teeth getting cleaned and whiten

Teeth Whitening

Teeth whitening is a very popular service among our patients. It could be that age has darkened their teeth, or perhaps it was drinking red wine, coffee or tea.

Or maybe smoking has left its mark. Our at-home teeth whitening kits are customized for you to give you an effective method of brightening your teeth in a short amount of time.

Teeth before teeth whitening procedure

BEFORE

Teeth after teeth whitening procedure

AFTER

What causes tooth discoloration?

Many factors make teeth lose their luster. Genetics is one factor; some people just have whiter teeth than others. Other factors include cigarettes, dark foods and beverages (including coffee, soda, tea, and red wine), age, medications (such as tetracycline), and tooth trauma.

How does teeth whitening work?

The active ingredient in most teeth whiteners is some form of peroxide. Oxygen molecules from the peroxide penetrate the tooth and break down discolored molecules.

Because the oxygen molecules spread throughout the entire tooth, it is not necessary for the whitening gel to touch every part of the tooth for the entire tooth to be whitened.

How long do whitening results last?

Whitening results typically last several years. If your teeth start to discolor again over time, you can simply repeat a whitening treatment.

Will whitening cause tooth sensitivity?

Some people experience sensitivity while whitening, but many do not. Sensitivity does not mean damage has been caused to your teeth. It is temporary and typically disappears within a few days.

Opalescence whitening gel also contains unique ingredients designed to make your whitening experience as comfortable as possible. Your dentist can provide you with additional desensitizing treatments if you experience lingering discomfort.

Will whitening weaken my teeth?

No. Whitening has not been shown to weaken teeth.

Who can whiten?

Almost anyone can successfully whiten their teeth. Whitening treatments are effective at treating discoloration caused by age, food and drink, cigarettes, medication, or tooth trauma. We also see patients of all ages whiten successfully—from teenagers to 90-year-olds.

What type of service do we offer?

In office and at home services

Dental Bonding

This is a fast, effective method of correcting several cosmetic problems. When teeth are so deeply stained that they won’t respond to whitening, dental bonding offers a fast solution.

Bonding is also useful when there are minor chips or there is too much space between teeth or teeth are different lengths.

Bonding uses composite resin to fill gaps, lengthen a tooth or cover the surface, instantly improving the appearance of your smile.

A patient being examined
Picture of porcelain veneers

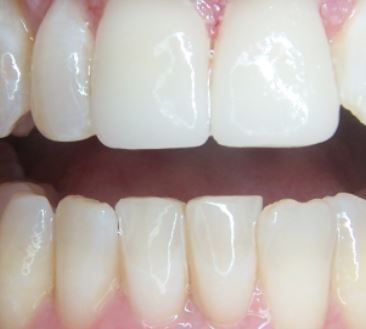
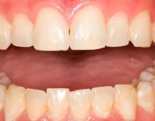
Porcelain Veneers

Veneers are very thin sheets of sparkling porcelain that are shaped to fit over the front and tip of your teeth. They can correct poor spacing that results in gaps between the teeth, chips, cracks, irregular or uneven size, length or shape, and deep staining.

First, your teeth are minimally prepared for placement of a veneer and the veneers are manufactured to fit into your smile. When the veneers are ready, they are cemented to your teeth and the bond is hardened with a special light.

Teeth before Porcelain Veneers Procedure

BEFORE

Teeth after Porcelain Veneers Procedure

AFTER

Same-Day Crowns

We are very pleased to offer our patients same-day crowns.

After a tooth is prepared for a crown, we will create the crown in-house and place it during the same appointment.

This saves the patient from needing to return to our office for second visit.

Picture of patient prepared for crowns
Picture of a smile and cleaar braces

Orthodontics

Dr. Jimenez has extensive training on orthodontics so she can plan the best, fastest and most effective orthodontic treatment program for each patient.

We can offer conventional metal braces or clear aligners, depending on a patient’s need and preference. We can also offer young patients early orthodontic care that helps their jaws develop into the right shape for proper tooth alignment.

This early system of orthodontia is called Ortho-Tain®. There is also an Ortho-Tain method for adults that results in faster correction without metal brackets/wires.